首頁 育兒 寶貝健康

小孩也長息肉!3歲女童半年血便非便秘,切除2公分大腸息肉!好發1-7歲,5狀況快就醫

3歲女童血便半年,以為是便秘!雖然兒童血便常與便祕有關,但若出現反覆血便、體重下降、生長停滯、發燒、臉色較為蒼白或精神活動力明顯下降等五種情況,應提高警覺、及早就醫。
小孩也長息肉!3歲女童半年血便非便秘,切除2公分大腸息肉!好發1-7歲,5狀況快就醫

 

3歲女童血便不是便秘!檢查發現是大腸息肉

注意!兒童血便不只是便秘。北部一名3歲女童,半年內出現間歇性血便,家長帶她去診所就醫,都只是以「便秘」方式治療,服用診所開立的軟便藥仍時好時壞,家長帶至醫院檢查,才發現是「大腸息肉」!

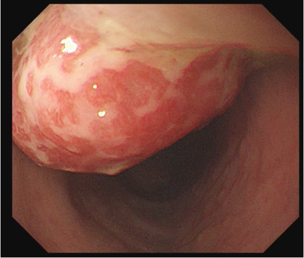
台北慈濟醫院兒科部腸胃科醫師李致任表示,由於女童糞便潛血檢查呈陽性,經核子醫學掃描檢查,排除為小腸處的梅克爾憩室後,以無痛麻醉的方式,進行大腸鏡檢查,發現女童有一約2公分大的單顆息肉,予以切除並止血,術後病理報告顯示為良性的「幼年型大腸息肉」。

事實上,兒童血便的原因很多,常與便祕有關,但也可能與腸胃道感染、腸套疊、大腸息肉以及小腸處的梅克爾憩室相關。

李致任醫師指出:「若出現血便情形,應先觀察糞便型態與顏色。若為硬便合併肛門疼痛,多半與便祕、肛裂有關;但若糞便質地正常,卻反覆出現鮮紅或暗紅色血液,甚至持續數週以上,就必須提高警覺,進一步檢查出血來源。」

兒童常見的大腸息肉以「幼年型息肉」為主,臨床上約九成以上屬良性病變,其發生原因為偶發型,沒有特別的發生原因。

幼年型大腸息肉好發1-7歲,症狀是血便

以台灣而言,臨床發生率約2%,好發年齡以1至7歲的學齡前兒童為主,最典型的症狀即為無痛且反覆性的血便,血色多為鮮紅或暗紅色,若長時間不予理會,部分孩童容易因慢性出血而出現臉色蒼白、活動力下降等缺鐵性貧血表現。

臨床診斷中,醫師會透過糞便顏色來分辨出血位置,若糞便顏色為黑色可能為胃、十二指腸等上消化道出血;若糞便顏色為鮮紅色可能為大腸、直腸處的下消化道出血。

血便可能性眾多,因此需諮詢兒童腸胃科醫師判斷,並安排適當檢查,包含糞便潛血、糞便細菌培養、腹部超音波、電腦斷層及核子醫學檢查等。

若醫師懷疑大腸病灶,大腸鏡檢查是最關鍵且具決定性的工具,不僅能直接觀察腸道是否有息肉等病灶,更可在同次檢查中完成切除治療。此項檢查與治療亦可由具備兒童大腸鏡執行資格的兒科醫師進行,以確保檢查安全與精準度。

李致任醫師表示,大部分的幼年型息肉可透過大腸鏡進行微創切除,在舒眠情況下,將器械透過肛門進入大腸,並在影像系統的輔助下,利用電圈套住息肉根部進行切除,再依情況決定是否需要使用止血夾加強止血。

若息肉體積過大或經評估無法以大腸鏡完整切除,才需採外科手術處置。

李致任醫師說明:「相較於外科手術,大腸鏡切除手術的優點在於傷口小、疼痛感低且恢復時間短,近九成孩童手術後復發率趨近於零,預後良好。」

兒童出現五情況,恐是幼年型大腸息肉,快就醫!

在日常照護方面,李致任醫師提醒,良好的飲食與生活型態是維持腸道健康的重要關鍵。

家長可從日常三餐著手,讓孩子多攝取新鮮蔬菜、水果及含有膳食纖維的天然食材,並建立固定如廁時間與規律作息,幫助腸胃順暢運作。

若孩子出現反覆血便、體重下降、生長停滯、發燒、臉色較為蒼白或精神活動力明顯下降等五種情況,應提高警覺、及早就醫,為孩子健康把關。

 

整理撰文/游資芸

圖片來源/AI生成、內文圖由台北慈濟醫院提供

 

*本網站所發表之文章,均由《嬰兒與母親》及其他相關著作權人依法擁有其法律權益,若欲引用或轉載網站內容, 請與本公司來信接洽,違者將依法處理。聯絡信箱:[email protected]